![[field:title/]](http://nmpfe.com/d/file/p/2023/11-13/9dd696d079a4b060c6d5c47f1bdb9cf9.png)
变化在最近发表在《cell》杂志上的一项研究中,Yang等人揭示了由忠实的DNA修复引起的表观遗传景观的变化是加速哺乳动物器官或组织衰老的关键驱动因素。令人印象深刻的是,衰老过程中H3K27ac景观的变化会影响细胞身份的维持,并且这种衰老过程可以通过先锋转录因子Oct4,Sox2和Klf4(OSK)在活哺乳动物中的诱导表达来逆转。
在哺乳动物中,DNA甲基化的全局和局部发生在衰老过程中的基因组中。此外,在所有衰老模型中都...
2023-11-13
![[field:title/]](http://nmpfe.com/d/file/p/2023/10-16/8ca6f213748c62643d65ba45f77409cc.png)
近年来,随着科技的不断发展和进步,生物实验方法也在不断创新和更新。其中一种新颖的生物实验方法是基于人工智能技术的高通量细胞筛选方法。
高通量细胞筛选方法是一种快速、高效、可靠的细胞筛选技术,可以在短时间内对大量细胞进行筛选和分析。这种方法在生...
2023-10-16
![[field:title/]](/e/data/images/notimg.gif)
1、免疫共沉淀(Co-IP)实验目的蛋白高背景产生的原因及处理方法?
目的蛋白高背景产生的原因有很多种,比如:
(2)有非特异性蛋白结合
(2)转移膜上的非特异性吸附
针对有非特异性蛋白结合这种情况,可以在无血清培养液中裂解细胞,而对于转移摸上的非特异性吸附,要注意实验的操作问题,一定要戴手套,用镊子夹取,以及不接触转移膜转移面。
2、免疫共沉淀(Co-IP)实验失败的原因及处理方法。
(1)样品被...
2023-09-01
![[field:title/]](/e/data/images/notimg.gif)
生命早期充足的营养对于最佳神经发育至关重要,并可能调节以后生命中发生神经精神疾病的风险.据估计,居住在低收入和中等收入国家(LIMC)的五岁以下儿童中有三分之一未能达到认知...
2023-08-17
![[field:title/]](/e/data/images/notimg.gif)
在过去的几十年里,科学家们一直在探索和研究RNA的各种功能。除了传统的信使RNA(mRNA)、转移RNA(tRNA)和核糖体RNA(rRNA)等已知RNA分子外,近年来发现了一类新型的非编码RNA,被称为tRNA...
2023-08-10
![[field:title/]](/e/data/images/notimg.gif)
在我们通常谈论基因表达和遗传信息的时候,DNA往往是主角。然而,在细胞内,除了DNA之外,还有另一种分子起着至关重要的作用——RNA。RNA不仅仅是DNA的复制和转录产物,它还承担着多种生物学功能。...
2023-08-04
![[field:title/]](/e/data/images/notimg.gif)
溶瘤病毒作为一种全新的肿瘤治疗手段,具有针对性强、低毒副作用、安全性高等优势。但是,其成为广泛应用于全身的肿瘤治疗手段面临着巨大的挑战,主要在于病毒在循环系统中存在的短暂时间和被机体免疫系统清除的风险。因此,研发一种能够在体内靶向给药的载体,以实现临床应用的可行性和有效性,成为溶瘤病毒技术研究的热点之一。该研究开发了一种病毒隐藏...
2023-07-24
![[field:title/]](/d/file/p/2023/05-09/bb9943084c21b98a0c2521c1a1feabb3.jpg)
动物实验实现100%治愈结直肠癌!仿生纳米药物癌 CE120 张捷(左一)和CELLO纳米医药科研团队 “我们在动物实验中实现了100%治愈结直肠癌。”华裔科学家、美国国家工程院院士张捷...
2023-05-09
![[field:title/]](/e/data/images/notimg.gif)
2020-2021年度“黄家驷生物医学工程奖”申报将于 各有关单位:
“黄家驷生物医学工程奖”以中国生物医学工程学会首任理事长黄家驷学部委员(院士)的名字命名,是由我学会设立的我国生物医学工程学科最高科...
2023-05-09
![[field:title/]](/d/file/p/2023/05-09/4774a0466f84f84103540c8f57ba284b.png)
生物医学目前的商业模式 空间组织学和生物标志物硬件开发商Akoya Biosciences16日在美国纳斯达克上市,发行价为20美元。Akoya此次发行658万股,募资1.32亿美元。在2019年的时候完成5000万美元的融资,用来...
2023-05-09
![[field:title/]](/e/data/images/notimg.gif)
SCI影响因子与论文原创性 为了客观评价科研人员的绩效,全世界的大多数科研机构都采用SCI作为评价手段之一。文章发表在高影响因子学术杂志上,给科研人员带来的好处很多,近期的有毕业、晋职、涨薪,远期...
2023-05-09
![[field:title/]](/e/data/images/notimg.gif)
中国淋巴瘤专科建设项目启动 淋巴瘤是常见恶性肿瘤之一,我国淋巴瘤发病率居高不下且发病人群呈年轻化的趋势。尽管淋巴瘤是目前控制率、治愈率最高的肿瘤之一,而我国淋巴瘤患者5年生存率仅为38.3%,远低于...
2023-05-09
![[field:title/]](/e/data/images/notimg.gif)
中国临床肿瘤学会更新头颈部肿瘤诊疗指南 2021中国临床肿瘤学会(CSCO)指南大会4月23日在北京举行,今年CSCO更新了鼻咽癌、非小细胞肺癌等23部诊疗指南,并将首次出版神经内分泌肿瘤、中枢神经系统转移肿瘤...
2023-05-09
![[field:title/]](/e/data/images/notimg.gif)
人为何衰老?细胞协调能力下降使然 以色列巴伊兰大学一个科研团队最近完成研究,证实了15年前科学家提出的关于人体衰老的新理论。该理论提出,随着时间流逝,人体实际下降的是细胞协调能力,而非细胞功能。...
2023-05-09
![[field:title/]](/e/data/images/notimg.gif)
“细胞工厂”让生物燃料更经济 近日,诺和诺德基金会生物可持续性研究中心与美国耶鲁大学在《自然—通讯》发布的一项研究表明,甘蔗在进行乙醇发酵时,淀粉乳杆菌能产生大量喂养酵母菌的乙醛,发酵产...
2023-05-09
![[field:title/]](/d/file/p/2023/05-09/6677edf55235ab6ba85015fdef1f7310.jpg)
五一假期能不能打新冠疫苗?国家卫健委有详细 本文转自【央视新闻客户端】; 2021年4月21日下午,国务院联防联控机制召开新闻发布会,介绍新冠疫苗接种有关情况。 一起打疫苗!全国接种新冠疫苗超过2...
2023-05-09
![[field:title/]](/d/file/p/2023/05-09/e44e1a2c9b6b316acf1c47f32c6c0bfb.jpg)
纳米陷阱能清除冠状病毒 作者:唐一尘 来源:中国科学报
纳米陷阱艺术图,纳米陷阱的核心为黄色、磷脂壳为绿色和功能化粒子为红色,病毒蛋白外壳为灰色。图片来源:Huang Lab
美国芝加哥大学...
2023-05-09
![[field:title/]](/e/data/images/notimg.gif)
中国每年40万女性患乳腺癌 专家呼吁早筛早治 中新网客户端北京5月10日电(记者 郎朗)“中国每年有40万女性会得乳腺癌,所有的女性要注重筛查、早诊、早治,早期发现乳腺癌是可以治愈的。”5月8...
2023-05-09
![[field:title/]](/e/data/images/notimg.gif)
试验表明AI引导有助于在常规实践中早期发现心脏疾病 某些类型的心脏疾病可能很难发现,例如无症状的低射血分数,特别是在治疗最有效的早期阶段。心电图AI引导下的低射血分数筛查(EAGLE)试验旨在确定利用...
2023-05-09
![[field:title/]](/e/data/images/notimg.gif)
研究发现四种对溃疡性结肠炎具潜在治疗意义的机会性“病原菌” 中新网昆明5月7日电(记者 胡远航)记者7日从中科院昆明动物研究所获悉,该所马占山学科组与昆明医科大学第一附属医院合作,发现四种对溃疡性...
2023-05-09
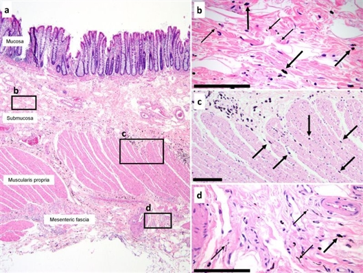
![[field:title/]](/d/file/p/2023/05-09/6d578906f832339e9f7f18bc7f032e7a.jpg)
癌细胞可通过间质传播 这项新研究表明,从结肠癌患者身上提取的结肠组织和肠系膜的不同层中存在纹身墨水。B、c、d是a中相应部位的放大图。粗箭头表示巨噬细胞内的墨水,细箭头表示组织间隙内的墨水。人...
2023-05-09
![[field:title/]](/e/data/images/notimg.gif)
世卫组织将在德国柏林建立应对大流行病的全球 当地时间5月5日,德国联邦卫生部部长斯潘与世界卫生组织总干事谭德塞召开视频会议。会后,两人共同宣布,世界卫生组织将在柏林建立应对大流行病的全球数据中心...
2023-05-09
![[field:title/]](/e/data/images/notimg.gif)
卫健委:中国恶性肿瘤的5年生存率提高近10% 中新网4月27日电 国家卫健委医政医管局局长焦雅辉27日指出,随着我国医疗质量和诊疗能力的提升,恶性肿瘤的五年生存率已经从十年前的30.9%提升到目前的40.5%,提高...
2023-05-09
![[field:title/]](/e/data/images/notimg.gif)
高福等人发文:须重视新发H5N8禽流感病毒,可造成人感染 自1878年以来,全球已记录了许多疑似高致病性禽流感病毒(HPAIV)暴发。不过,直到1959年,来自苏格兰的记录首次确认了禽类中HPAIV暴发,由A型H5N1亚型流感导...
2023-05-09
![[field:title/]](/e/data/images/notimg.gif)
我国首个PD-1抗癌药上市申请被FDA正式受理 国产抗癌药出海取得实质性进展 18日,信达生物制药集团和美国礼来制药集团共同对外公布,其联合开发的创新生物药“PD-1单克隆抗体达伯舒”,上市申请被...
2023-05-09